Begini Cara Membersihkan Karang Gigi dengan Bahan Alami
karang gigi--
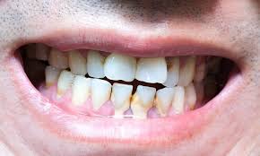
oganilir.co - Karang gigi atau plak yang mengeras merupakan masalah umum yang bisa menyebabkan bau mulut, gusi berdarah, hingga penyakit gusi jika tidak ditangani. Biasanya, karang gigi dibersihkan oleh dokter gigi melalui prosedur scaling. Namun, ada beberapa trik alami yang bisa membantu mencegah atau mengurangi karang gigi secara mandiri di rumah. Meskipun tidak seefektif tindakan medis, bahan-bahan alami ini aman digunakan sebagai perawatan tambahan.
Salah satu bahan alami yang sering digunakan untuk membantu mengurangi plak gigi adalah baking soda. Baking soda memiliki sifat abrasif ringan yang mampu mengikis lapisan plak yang menempel pada permukaan gigi. Caranya cukup mudah: campurkan sedikit baking soda dengan air hingga menjadi pasta, lalu sikatkan secara lembut ke gigi selama 1–2 menit. Lakukan ini 1–2 kali seminggu agar tidak merusak enamel gigi.
Selain baking soda, minyak kelapa juga dikenal efektif untuk menjaga kebersihan mulut. Metode yang dikenal sebagai oil pulling ini dilakukan dengan cara berkumur menggunakan satu sendok makan minyak kelapa selama 10–15 menit. Kandungan antimikroba dalam minyak kelapa dipercaya dapat mengurangi bakteri penyebab plak dan menyegarkan napas. Setelah berkumur, buang minyak ke tempat sampah (bukan ke wastafel) lalu sikat gigi seperti biasa.
Cuka apel juga bisa digunakan sebagai bahan alami untuk mengurangi karang gigi karena sifat asamnya yang mampu melunakkan plak. Namun, penggunaannya harus sangat hati-hati karena asam yang terlalu kuat bisa merusak enamel. Gunakan larutan cuka apel yang telah diencerkan (1 bagian cuka : 3 bagian air) dan berkumurlah selama beberapa detik, lalu bilas mulut dengan air bersih. Jangan digunakan terlalu sering, cukup 1–2 kali seminggu.
BACA JUGA:Kenapa Gigi Bisa Ngilu? Simak Penjelasannya Disini!
BACA JUGA:Simak! Begini Cara Mudah Mengolah Daun Jambu Biji untuk Meredakan Nyeri Sakit Gigi
Kulit jeruk juga merupakan trik alami yang sering direkomendasikan. Bagian dalam kulit jeruk (yang putih) bisa digosokkan langsung ke permukaan gigi. Kandungan vitamin C dan zat antibakteri di dalamnya diyakini dapat membantu menghambat pertumbuhan plak. Selain itu, rasa dan aromanya yang segar bisa memberikan efek menenangkan pada mulut.
Meski bahan alami bisa membantu, penting untuk diingat bahwa cara ini lebih bersifat pencegahan dan tidak bisa menggantikan peran dokter gigi sepenuhnya. Karang gigi yang sudah menebal hanya bisa dihilangkan secara profesional. Maka, selain menggunakan trik alami ini, tetaplah menjaga kebersihan mulut dengan menyikat gigi dua kali sehari, menggunakan benang gigi, dan rutin memeriksakan gigi ke dokter setidaknya setiap enam bulan sekali.
Sumber:


